

Вадим Токар
Вадим Токар
Лікар-хірург-імплантолог.
Спеціалізація в трансформації посмішки за одну операцію

Вадим Токар
Лікар-хірург-імплантолог.
Спеціалізація в трансформації посмішки за одну операцію
#1
Переможець Номінації «Найкращий випадок імплантологічної реабілітації
в Україні»
Переможець Номінації «Найкращий випадок імплантологічної реабілітації
в Україні»
#1
Переможець Номінації «Найкращий випадок імплантологічної реабілітації
в Україні»
14
Років досвіду в хірургічній стоматології
10 000+
Годин операцій
14
Років досвіду в хірургічній стоматології
Років досвіду в хірургічній стоматології
10 000+
Годин операцій
Годин операцій
10
Років досвіду в одномоментний імплантації з негайним навантаженням
Років досвіду в одномоментний імплантації з негайним навантаженням
Про лікаря

Експерт у сфері хірургічній стоматології
Учасник міжнародних та всеукраїнських конференцій.
Лікар хірург-імплантолог та викладач курсу імплантології.
Лікар хірург-імплантолог
та викладач курсу імплантології.
Лікар хірург-імплантолог та викладач курсу імплантології.
Лікар хірург-імплантолог та викладач курсу імплантології.
Лікар хірург-імплантолог та викладач курсу імплантології.
Спеціалізуюсь на одномоментній імплантації, реабілітації пацієнтів із критичною атрофією кісткової тканини та цифровому плануванні лікування.
Спеціалізуюсь на одномоментній імплантації, реабілітації пацієнтів із критичною атрофією кісткової тканини та цифровому плануванні лікування.
Спеціалізуюсь на одномоментній імплантації, реабілітації пацієнтів із критичною атрофією кісткової тканини та цифровому плануванні лікування.
Історії трансформацій
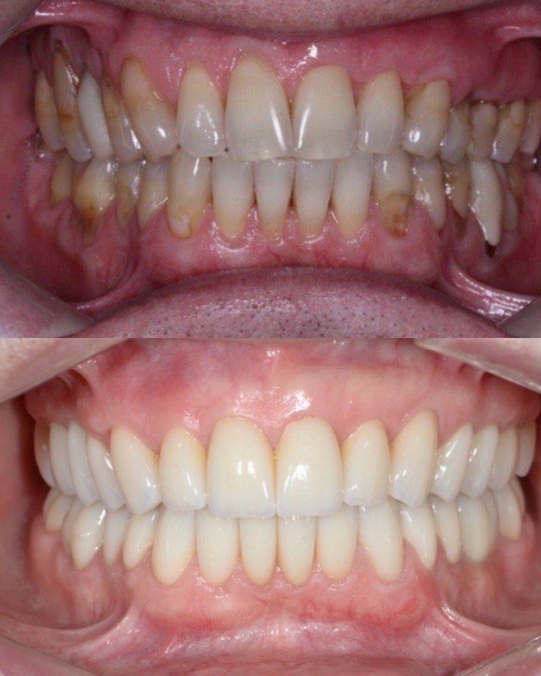
Операція Allon6
Створили віртуальний план майбутньої посмішки, потім реалізували його за одну операцію:видалили зуби на верхній щелепівстановили 6 імплантатів за навігаційним протоколомзберегли архітектуру ясен і відтворили природну естетикуФінальний етап – ортопедична реабілітація
Написати в Telegram

Операція реконструкція кісткової тканини щелеп індивідуальним титановим каркасом
Етап 1 Видалення коренів зубів на верхній та нижній щелепах
Етап 2 Реконструкція альвеолярного відростка верхньої щелепи. Двобічний відкритий синус-ліфтинг та вертикальна кісткова аугментація альвеолярного відростка верхньої щелепи Армування аугментату титановою сіткою, підготовленою за індивідуально надрукованою 3D-моделлю з віртуальним прогнозом аугментації
Етап 3 Горизонтальна аугментація альвеолярного гребеня нижньої щелепи в ділянках адентії
Етап 4 Видалення титанової сітки Видалення зуба 1.6 Встановлення 9 імплантатів
Етап 5 Встановлення формувачів ясен Пластика присінку порожнини рота
Написати в Telegram

Операція Allon4
Провели операцію на верхній та нижній щелепі в протоколі Allon4 та одразу зафіксували незнімні зубні конструкції
Написати в Telegram

Операція Allon6
Провели віртуальне планування майбутньої усмішки
Виконали операцію за протоколом All-on-6
Видалили всі зуби та встановили імплантанти Nobel Biocare Parallel CC
Здійснили негайне навантаження та отримали трансформацію посмішки за одну операцію
Написати в Telegram

Операція реконструкція кісткової тканини щелеп
Провели віртуальне планування
Видалили «базальних» імплантатів (частково – для мінімізації травми). Видалили зуби, які не підлягали лікуванню
Наростили кісткову тканину. Встановили нові імплантати.
Фінальний етап – тимчасова та постійна ортопедична реабілітація
Написати в Telegram

Операція транссинусальна імплантація
Було проведено:
видалення зубів, що не підлягали лікуванню
встановлення імплантатів транссинусальним методом
Здійснили негайне навантаження та отримали трансформацію посмішки за одну операцію
Написати в Telegram

Операція пластика ясен
Було проведено поетапне закриття рецесій ясен зубів верхньої та нижньої щелепи
Написати в Telegram

Операція синус-ліфтинг
Написати в Telegram

Операція Allon6
Створили віртуальний план майбутньої посмішки, потім реалізували його за одну операцію:видалили зуби на верхній щелепівстановили 6 імплантатів за навігаційним протоколомзберегли архітектуру ясен і відтворили природну естетикуФінальний етап – ортопедична реабілітація
Написати в Telegram

Операція реконструкція кісткової тканини щелеп індивідуальним титановим каркасом
Етап 1 Видалення коренів зубів на верхній та нижній щелепах
Етап 2 Реконструкція альвеолярного відростка верхньої щелепи. Двобічний відкритий синус-ліфтинг та вертикальна кісткова аугментація альвеолярного відростка верхньої щелепи Армування аугментату титановою сіткою, підготовленою за індивідуально надрукованою 3D-моделлю з віртуальним прогнозом аугментації
Етап 3 Горизонтальна аугментація альвеолярного гребеня нижньої щелепи в ділянках адентії
Етап 4 Видалення титанової сітки Видалення зуба 1.6 Встановлення 9 імплантатів
Етап 5 Встановлення формувачів ясен Пластика присінку порожнини рота
Написати в Telegram

Операція Allon4
Провели операцію на верхній та нижній щелепі в протоколі Allon4 та одразу зафіксували незнімні зубні конструкції
Написати в Telegram

Операція Allon6
Провели віртуальне планування майбутньої усмішки
Виконали операцію за протоколом All-on-6
Видалили всі зуби та встановили імплантанти Nobel Biocare Parallel CC
Здійснили негайне навантаження та отримали трансформацію посмішки за одну операцію
Написати в Telegram

Операція реконструкція кісткової тканини щелеп
Провели віртуальне планування
Видалили «базальних» імплантатів (частково – для мінімізації травми). Видалили зуби, які не підлягали лікуванню
Наростили кісткову тканину. Встановили нові імплантати.
Фінальний етап – тимчасова та постійна ортопедична реабілітація
Написати в Telegram

Операція транссинусальна імплантація
Було проведено:
видалення зубів, що не підлягали лікуванню
встановлення імплантатів транссинусальним методом
Здійснили негайне навантаження та отримали трансформацію посмішки за одну операцію
Написати в Telegram

Операція пластика ясен
Було проведено поетапне закриття рецесій ясен зубів верхньої та нижньої щелепи
Написати в Telegram

Операція синус-ліфтинг
Написати в Telegram

Операція Allon6
Створили віртуальний план майбутньої посмішки, потім реалізували його за одну операцію:видалили зуби на верхній щелепівстановили 6 імплантатів за навігаційним протоколомзберегли архітектуру ясен і відтворили природну естетикуФінальний етап – ортопедична реабілітація
Написати в Telegram

Операція реконструкція кісткової тканини щелеп індивідуальним титановим каркасом
Етап 1 Видалення коренів зубів на верхній та нижній щелепах
Етап 2 Реконструкція альвеолярного відростка верхньої щелепи. Двобічний відкритий синус-ліфтинг та вертикальна кісткова аугментація альвеолярного відростка верхньої щелепи Армування аугментату титановою сіткою, підготовленою за індивідуально надрукованою 3D-моделлю з віртуальним прогнозом аугментації
Етап 3 Горизонтальна аугментація альвеолярного гребеня нижньої щелепи в ділянках адентії
Етап 4 Видалення титанової сітки Видалення зуба 1.6 Встановлення 9 імплантатів
Етап 5 Встановлення формувачів ясен Пластика присінку порожнини рота
Написати в Telegram

Операція Allon4
Провели операцію на верхній та нижній щелепі в протоколі Allon4 та одразу зафіксували незнімні зубні конструкції
Написати в Telegram

Операція Allon6
Провели віртуальне планування майбутньої усмішки
Виконали операцію за протоколом All-on-6
Видалили всі зуби та встановили імплантанти Nobel Biocare Parallel CC
Здійснили негайне навантаження та отримали трансформацію посмішки за одну операцію
Написати в Telegram

Операція реконструкція кісткової тканини щелеп
Провели віртуальне планування
Видалили «базальних» імплантатів (частково – для мінімізації травми). Видалили зуби, які не підлягали лікуванню
Наростили кісткову тканину. Встановили нові імплантати.
Фінальний етап – тимчасова та постійна ортопедична реабілітація
Написати в Telegram

Операція транссинусальна імплантація
Було проведено:
видалення зубів, що не підлягали лікуванню
встановлення імплантатів транссинусальним методом
Здійснили негайне навантаження та отримали трансформацію посмішки за одну операцію
Написати в Telegram

Операція пластика ясен
Було проведено поетапне закриття рецесій ясен зубів верхньої та нижньої щелепи
Написати в Telegram

Операція синус-ліфтинг
Написати в Telegram

Операція Allon6
Створили віртуальний план майбутньої посмішки, потім реалізували його за одну операцію:видалили зуби на верхній щелепівстановили 6 імплантатів за навігаційним протоколомзберегли архітектуру ясен і відтворили природну естетикуФінальний етап – ортопедична реабілітація
Написати в Telegram

Операція реконструкція кісткової тканини щелеп індивідуальним титановим каркасом
Етап 1 Видалення коренів зубів на верхній та нижній щелепах
Етап 2 Реконструкція альвеолярного відростка верхньої щелепи. Двобічний відкритий синус-ліфтинг та вертикальна кісткова аугментація альвеолярного відростка верхньої щелепи Армування аугментату титановою сіткою, підготовленою за індивідуально надрукованою 3D-моделлю з віртуальним прогнозом аугментації
Етап 3 Горизонтальна аугментація альвеолярного гребеня нижньої щелепи в ділянках адентії
Етап 4 Видалення титанової сітки Видалення зуба 1.6 Встановлення 9 імплантатів
Етап 5 Встановлення формувачів ясен Пластика присінку порожнини рота
Написати в Telegram

Операція Allon4
Провели операцію на верхній та нижній щелепі в протоколі Allon4 та одразу зафіксували незнімні зубні конструкції
Написати в Telegram

Операція Allon6
Провели віртуальне планування майбутньої усмішки
Виконали операцію за протоколом All-on-6
Видалили всі зуби та встановили імплантанти Nobel Biocare Parallel CC
Здійснили негайне навантаження та отримали трансформацію посмішки за одну операцію
Написати в Telegram

Операція реконструкція кісткової тканини щелеп
Провели віртуальне планування
Видалили «базальних» імплантатів (частково – для мінімізації травми). Видалили зуби, які не підлягали лікуванню
Наростили кісткову тканину. Встановили нові імплантати.
Фінальний етап – тимчасова та постійна ортопедична реабілітація
Написати в Telegram

Операція транссинусальна імплантація
Було проведено:
видалення зубів, що не підлягали лікуванню
встановлення імплантатів транссинусальним методом
Здійснили негайне навантаження та отримали трансформацію посмішки за одну операцію
Написати в Telegram

Операція пластика ясен
Було проведено поетапне закриття рецесій ясен зубів верхньої та нижньої щелепи
Написати в Telegram

Операція синус-ліфтинг
Написати в Telegram

Операція Allon6
Створили віртуальний план майбутньої посмішки, потім реалізували його за одну операцію:видалили зуби на верхній щелепівстановили 6 імплантатів за навігаційним протоколомзберегли архітектуру ясен і відтворили природну естетикуФінальний етап – ортопедична реабілітація
Написати в Telegram

Операція реконструкція кісткової тканини щелеп індивідуальним титановим каркасом
Етап 1 Видалення коренів зубів на верхній та нижній щелепах
Етап 2 Реконструкція альвеолярного відростка верхньої щелепи. Двобічний відкритий синус-ліфтинг та вертикальна кісткова аугментація альвеолярного відростка верхньої щелепи Армування аугментату титановою сіткою, підготовленою за індивідуально надрукованою 3D-моделлю з віртуальним прогнозом аугментації
Етап 3 Горизонтальна аугментація альвеолярного гребеня нижньої щелепи в ділянках адентії
Етап 4 Видалення титанової сітки Видалення зуба 1.6 Встановлення 9 імплантатів
Етап 5 Встановлення формувачів ясен Пластика присінку порожнини рота
Написати в Telegram

Операція Allon4
Провели операцію на верхній та нижній щелепі в протоколі Allon4 та одразу зафіксували незнімні зубні конструкції
Написати в Telegram

Операція Allon6
Провели віртуальне планування майбутньої усмішки
Виконали операцію за протоколом All-on-6
Видалили всі зуби та встановили імплантанти Nobel Biocare Parallel CC
Здійснили негайне навантаження та отримали трансформацію посмішки за одну операцію
Написати в Telegram

Операція реконструкція кісткової тканини щелеп
Провели віртуальне планування
Видалили «базальних» імплантатів (частково – для мінімізації травми). Видалили зуби, які не підлягали лікуванню
Наростили кісткову тканину. Встановили нові імплантати.
Фінальний етап – тимчасова та постійна ортопедична реабілітація
Написати в Telegram

Операція транссинусальна імплантація
Було проведено:
видалення зубів, що не підлягали лікуванню
встановлення імплантатів транссинусальним методом
Здійснили негайне навантаження та отримали трансформацію посмішки за одну операцію
Написати в Telegram

Операція пластика ясен
Було проведено поетапне закриття рецесій ясен зубів верхньої та нижньої щелепи
Написати в Telegram

Операція синус-ліфтинг
Написати в Telegram

Операція Allon6
Створили віртуальний план майбутньої посмішки, потім реалізували його за одну операцію:видалили зуби на верхній щелепівстановили 6 імплантатів за навігаційним протоколомзберегли архітектуру ясен і відтворили природну естетикуФінальний етап – ортопедична реабілітація
Написати в Telegram

Операція реконструкція кісткової тканини щелеп індивідуальним титановим каркасом
Етап 1 Видалення коренів зубів на верхній та нижній щелепах
Етап 2 Реконструкція альвеолярного відростка верхньої щелепи. Двобічний відкритий синус-ліфтинг та вертикальна кісткова аугментація альвеолярного відростка верхньої щелепи Армування аугментату титановою сіткою, підготовленою за індивідуально надрукованою 3D-моделлю з віртуальним прогнозом аугментації
Етап 3 Горизонтальна аугментація альвеолярного гребеня нижньої щелепи в ділянках адентії
Етап 4 Видалення титанової сітки Видалення зуба 1.6 Встановлення 9 імплантатів
Етап 5 Встановлення формувачів ясен Пластика присінку порожнини рота
Написати в Telegram

Операція Allon4
Провели операцію на верхній та нижній щелепі в протоколі Allon4 та одразу зафіксували незнімні зубні конструкції
Написати в Telegram

Операція Allon6
Провели віртуальне планування майбутньої усмішки
Виконали операцію за протоколом All-on-6
Видалили всі зуби та встановили імплантанти Nobel Biocare Parallel CC
Здійснили негайне навантаження та отримали трансформацію посмішки за одну операцію
Написати в Telegram

Операція реконструкція кісткової тканини щелеп
Провели віртуальне планування
Видалили «базальних» імплантатів (частково – для мінімізації травми). Видалили зуби, які не підлягали лікуванню
Наростили кісткову тканину. Встановили нові імплантати.
Фінальний етап – тимчасова та постійна ортопедична реабілітація
Написати в Telegram

Операція транссинусальна імплантація
Було проведено:
видалення зубів, що не підлягали лікуванню
встановлення імплантатів транссинусальним методом
Здійснили негайне навантаження та отримали трансформацію посмішки за одну операцію
Написати в Telegram

Операція пластика ясен
Було проведено поетапне закриття рецесій ясен зубів верхньої та нижньої щелепи
Написати в Telegram

Операція синус-ліфтинг
Написати в Telegram

Операція Allon6
Створили віртуальний план майбутньої посмішки, потім реалізували його за одну операцію:видалили зуби на верхній щелепівстановили 6 імплантатів за навігаційним протоколомзберегли архітектуру ясен і відтворили природну естетикуФінальний етап – ортопедична реабілітація
Написати в Telegram

Операція реконструкція кісткової тканини щелеп індивідуальним титановим каркасом
Етап 1 Видалення коренів зубів на верхній та нижній щелепах
Етап 2 Реконструкція альвеолярного відростка верхньої щелепи. Двобічний відкритий синус-ліфтинг та вертикальна кісткова аугментація альвеолярного відростка верхньої щелепи Армування аугментату титановою сіткою, підготовленою за індивідуально надрукованою 3D-моделлю з віртуальним прогнозом аугментації
Етап 3 Горизонтальна аугментація альвеолярного гребеня нижньої щелепи в ділянках адентії
Етап 4 Видалення титанової сітки Видалення зуба 1.6 Встановлення 9 імплантатів
Етап 5 Встановлення формувачів ясен Пластика присінку порожнини рота
Написати в Telegram

Операція Allon4
Провели операцію на верхній та нижній щелепі в протоколі Allon4 та одразу зафіксували незнімні зубні конструкції
Написати в Telegram

Операція Allon6
Провели віртуальне планування майбутньої усмішки
Виконали операцію за протоколом All-on-6
Видалили всі зуби та встановили імплантанти Nobel Biocare Parallel CC
Здійснили негайне навантаження та отримали трансформацію посмішки за одну операцію
Написати в Telegram

Операція реконструкція кісткової тканини щелеп
Провели віртуальне планування
Видалили «базальних» імплантатів (частково – для мінімізації травми). Видалили зуби, які не підлягали лікуванню
Наростили кісткову тканину. Встановили нові імплантати.
Фінальний етап – тимчасова та постійна ортопедична реабілітація
Написати в Telegram

Операція транссинусальна імплантація
Було проведено:
видалення зубів, що не підлягали лікуванню
встановлення імплантатів транссинусальним методом
Здійснили негайне навантаження та отримали трансформацію посмішки за одну операцію
Написати в Telegram

Операція пластика ясен
Було проведено поетапне закриття рецесій ясен зубів верхньої та нижньої щелепи
Написати в Telegram

Операція синус-ліфтинг
Написати в Telegram

Операція Allon6
Створили віртуальний план майбутньої посмішки, потім реалізували його за одну операцію:видалили зуби на верхній щелепівстановили 6 імплантатів за навігаційним протоколомзберегли архітектуру ясен і відтворили природну естетикуФінальний етап – ортопедична реабілітація
Написати в Telegram

Операція реконструкція кісткової тканини щелеп індивідуальним титановим каркасом
Етап 1 Видалення коренів зубів на верхній та нижній щелепах
Етап 2 Реконструкція альвеолярного відростка верхньої щелепи. Двобічний відкритий синус-ліфтинг та вертикальна кісткова аугментація альвеолярного відростка верхньої щелепи Армування аугментату титановою сіткою, підготовленою за індивідуально надрукованою 3D-моделлю з віртуальним прогнозом аугментації
Етап 3 Горизонтальна аугментація альвеолярного гребеня нижньої щелепи в ділянках адентії
Етап 4 Видалення титанової сітки Видалення зуба 1.6 Встановлення 9 імплантатів
Етап 5 Встановлення формувачів ясен Пластика присінку порожнини рота
Написати в Telegram

Операція Allon4
Провели операцію на верхній та нижній щелепі в протоколі Allon4 та одразу зафіксували незнімні зубні конструкції
Написати в Telegram

Операція Allon6
Провели віртуальне планування майбутньої усмішки
Виконали операцію за протоколом All-on-6
Видалили всі зуби та встановили імплантанти Nobel Biocare Parallel CC
Здійснили негайне навантаження та отримали трансформацію посмішки за одну операцію
Написати в Telegram

Операція реконструкція кісткової тканини щелеп
Провели віртуальне планування
Видалили «базальних» імплантатів (частково – для мінімізації травми). Видалили зуби, які не підлягали лікуванню
Наростили кісткову тканину. Встановили нові імплантати.
Фінальний етап – тимчасова та постійна ортопедична реабілітація
Написати в Telegram

Операція транссинусальна імплантація
Було проведено:
видалення зубів, що не підлягали лікуванню
встановлення імплантатів транссинусальним методом
Здійснили негайне навантаження та отримали трансформацію посмішки за одну операцію
Написати в Telegram

Операція пластика ясен
Було проведено поетапне закриття рецесій ясен зубів верхньої та нижньої щелепи
Написати в Telegram

Операція синус-ліфтинг
Написати в Telegram

Операція Allon6
Створили віртуальний план майбутньої посмішки, потім реалізували його за одну операцію:видалили зуби на верхній щелепівстановили 6 імплантатів за навігаційним протоколомзберегли архітектуру ясен і відтворили природну естетикуФінальний етап – ортопедична реабілітація
Написати в Telegram

Операція реконструкція кісткової тканини щелеп індивідуальним титановим каркасом
Етап 1 Видалення коренів зубів на верхній та нижній щелепах
Етап 2 Реконструкція альвеолярного відростка верхньої щелепи. Двобічний відкритий синус-ліфтинг та вертикальна кісткова аугментація альвеолярного відростка верхньої щелепи Армування аугментату титановою сіткою, підготовленою за індивідуально надрукованою 3D-моделлю з віртуальним прогнозом аугментації
Етап 3 Горизонтальна аугментація альвеолярного гребеня нижньої щелепи в ділянках адентії
Етап 4 Видалення титанової сітки Видалення зуба 1.6 Встановлення 9 імплантатів
Етап 5 Встановлення формувачів ясен Пластика присінку порожнини рота
Написати в Telegram

Операція Allon4
Провели операцію на верхній та нижній щелепі в протоколі Allon4 та одразу зафіксували незнімні зубні конструкції
Написати в Telegram

Операція Allon6
Провели віртуальне планування майбутньої усмішки
Виконали операцію за протоколом All-on-6
Видалили всі зуби та встановили імплантанти Nobel Biocare Parallel CC
Здійснили негайне навантаження та отримали трансформацію посмішки за одну операцію
Написати в Telegram

Операція реконструкція кісткової тканини щелеп
Провели віртуальне планування
Видалили «базальних» імплантатів (частково – для мінімізації травми). Видалили зуби, які не підлягали лікуванню
Наростили кісткову тканину. Встановили нові імплантати.
Фінальний етап – тимчасова та постійна ортопедична реабілітація
Написати в Telegram

Операція транссинусальна імплантація
Було проведено:
видалення зубів, що не підлягали лікуванню
встановлення імплантатів транссинусальним методом
Здійснили негайне навантаження та отримали трансформацію посмішки за одну операцію
Написати в Telegram

Операція пластика ясен
Було проведено поетапне закриття рецесій ясен зубів верхньої та нижньої щелепи
Написати в Telegram

Операція синус-ліфтинг
Написати в Telegram

Операція Allon6
Створили віртуальний план майбутньої посмішки, потім реалізували його за одну операцію:видалили зуби на верхній щелепівстановили 6 імплантатів за навігаційним протоколомзберегли архітектуру ясен і відтворили природну естетикуФінальний етап – ортопедична реабілітація
Написати в Telegram

Операція реконструкція кісткової тканини щелеп індивідуальним титановим каркасом
Етап 1 Видалення коренів зубів на верхній та нижній щелепах
Етап 2 Реконструкція альвеолярного відростка верхньої щелепи. Двобічний відкритий синус-ліфтинг та вертикальна кісткова аугментація альвеолярного відростка верхньої щелепи Армування аугментату титановою сіткою, підготовленою за індивідуально надрукованою 3D-моделлю з віртуальним прогнозом аугментації
Етап 3 Горизонтальна аугментація альвеолярного гребеня нижньої щелепи в ділянках адентії
Етап 4 Видалення титанової сітки Видалення зуба 1.6 Встановлення 9 імплантатів
Етап 5 Встановлення формувачів ясен Пластика присінку порожнини рота
Написати в Telegram

Операція Allon4
Провели операцію на верхній та нижній щелепі в протоколі Allon4 та одразу зафіксували незнімні зубні конструкції
Написати в Telegram

Операція Allon6
Провели віртуальне планування майбутньої усмішки
Виконали операцію за протоколом All-on-6
Видалили всі зуби та встановили імплантанти Nobel Biocare Parallel CC
Здійснили негайне навантаження та отримали трансформацію посмішки за одну операцію
Написати в Telegram

Операція реконструкція кісткової тканини щелеп
Провели віртуальне планування
Видалили «базальних» імплантатів (частково – для мінімізації травми). Видалили зуби, які не підлягали лікуванню
Наростили кісткову тканину. Встановили нові імплантати.
Фінальний етап – тимчасова та постійна ортопедична реабілітація
Написати в Telegram

Операція транссинусальна імплантація
Було проведено:
видалення зубів, що не підлягали лікуванню
встановлення імплантатів транссинусальним методом
Здійснили негайне навантаження та отримали трансформацію посмішки за одну операцію
Написати в Telegram

Операція пластика ясен
Було проведено поетапне закриття рецесій ясен зубів верхньої та нижньої щелепи
Написати в Telegram

Операція синус-ліфтинг
Написати в Telegram

Операція Allon6
Створили віртуальний план майбутньої посмішки, потім реалізували його за одну операцію:видалили зуби на верхній щелепівстановили 6 імплантатів за навігаційним протоколомзберегли архітектуру ясен і відтворили природну естетикуФінальний етап – ортопедична реабілітація
Написати в Telegram

Операція реконструкція кісткової тканини щелеп індивідуальним титановим каркасом
Етап 1 Видалення коренів зубів на верхній та нижній щелепах
Етап 2 Реконструкція альвеолярного відростка верхньої щелепи. Двобічний відкритий синус-ліфтинг та вертикальна кісткова аугментація альвеолярного відростка верхньої щелепи Армування аугментату титановою сіткою, підготовленою за індивідуально надрукованою 3D-моделлю з віртуальним прогнозом аугментації
Етап 3 Горизонтальна аугментація альвеолярного гребеня нижньої щелепи в ділянках адентії
Етап 4 Видалення титанової сітки Видалення зуба 1.6 Встановлення 9 імплантатів
Етап 5 Встановлення формувачів ясен Пластика присінку порожнини рота
Написати в Telegram

Операція Allon4
Провели операцію на верхній та нижній щелепі в протоколі Allon4 та одразу зафіксували незнімні зубні конструкції
Написати в Telegram

Операція Allon6
Провели віртуальне планування майбутньої усмішки
Виконали операцію за протоколом All-on-6
Видалили всі зуби та встановили імплантанти Nobel Biocare Parallel CC
Здійснили негайне навантаження та отримали трансформацію посмішки за одну операцію
Написати в Telegram

Операція реконструкція кісткової тканини щелеп
Провели віртуальне планування
Видалили «базальних» імплантатів (частково – для мінімізації травми). Видалили зуби, які не підлягали лікуванню
Наростили кісткову тканину. Встановили нові імплантати.
Фінальний етап – тимчасова та постійна ортопедична реабілітація
Написати в Telegram

Операція транссинусальна імплантація
Було проведено:
видалення зубів, що не підлягали лікуванню
встановлення імплантатів транссинусальним методом
Здійснили негайне навантаження та отримали трансформацію посмішки за одну операцію
Написати в Telegram

Операція пластика ясен
Було проведено поетапне закриття рецесій ясен зубів верхньої та нижньої щелепи
Написати в Telegram

Операція синус-ліфтинг
Написати в Telegram

Операція Allon6
Створили віртуальний план майбутньої посмішки, потім реалізували його за одну операцію:видалили зуби на верхній щелепівстановили 6 імплантатів за навігаційним протоколомзберегли архітектуру ясен і відтворили природну естетикуФінальний етап – ортопедична реабілітація
Написати в Telegram

Операція реконструкція кісткової тканини щелеп індивідуальним титановим каркасом
Етап 1 Видалення коренів зубів на верхній та нижній щелепах
Етап 2 Реконструкція альвеолярного відростка верхньої щелепи. Двобічний відкритий синус-ліфтинг та вертикальна кісткова аугментація альвеолярного відростка верхньої щелепи Армування аугментату титановою сіткою, підготовленою за індивідуально надрукованою 3D-моделлю з віртуальним прогнозом аугментації
Етап 3 Горизонтальна аугментація альвеолярного гребеня нижньої щелепи в ділянках адентії
Етап 4 Видалення титанової сітки Видалення зуба 1.6 Встановлення 9 імплантатів
Етап 5 Встановлення формувачів ясен Пластика присінку порожнини рота
Написати в Telegram

Операція Allon4
Провели операцію на верхній та нижній щелепі в протоколі Allon4 та одразу зафіксували незнімні зубні конструкції
Написати в Telegram

Операція Allon6
Провели віртуальне планування майбутньої усмішки
Виконали операцію за протоколом All-on-6
Видалили всі зуби та встановили імплантанти Nobel Biocare Parallel CC
Здійснили негайне навантаження та отримали трансформацію посмішки за одну операцію
Написати в Telegram

Операція реконструкція кісткової тканини щелеп
Провели віртуальне планування
Видалили «базальних» імплантатів (частково – для мінімізації травми). Видалили зуби, які не підлягали лікуванню
Наростили кісткову тканину. Встановили нові імплантати.
Фінальний етап – тимчасова та постійна ортопедична реабілітація
Написати в Telegram

Операція транссинусальна імплантація
Було проведено:
видалення зубів, що не підлягали лікуванню
встановлення імплантатів транссинусальним методом
Здійснили негайне навантаження та отримали трансформацію посмішки за одну операцію
Написати в Telegram

Операція пластика ясен
Було проведено поетапне закриття рецесій ясен зубів верхньої та нижньої щелепи
Написати в Telegram

Операція синус-ліфтинг
Написати в Telegram

Операція Allon6
Створили віртуальний план майбутньої посмішки, потім реалізували його за одну операцію:
видалили зуби на верхній щелепі
встановили 6 імплантатів за навігаційним протоколом
зберегли архітектуру ясен і відтворили природну естетику
Фінальний етап – ортопедична реабілітація
Написати в Telegram

Операція реконструкція кісткової тканини щелеп індивідуальним титановим каркасом
Етап 1 Видалення коренів зубів на верхній та нижній щелепах
Етап 2 Реконструкція альвеолярного відростка верхньої щелепи. Двобічний відкритий синус-ліфтинг та вертикальна кісткова аугментація альвеолярного відростка верхньої щелепи Армування аугментату титановою сіткою
Етап 3 Горизонтальна аугментація альвеолярного гребеня нижньої щелепи в ділянках адентії
Етап 4 Видалення титанової сітки Видалення зуба 1.6 Встановлення 9 імплантатів
Етап 5 Встановлення формувачів ясен Пластика присінку порожнини рота
Написати в Telegram

Операція Allon4
Провели операцію на верхній та нижній щелепі в протоколі Allon4 та одразу зафіксували незнімні зубні конструкції
Написати в Telegram

Операція Allon6
Провели віртуальне планування майбутньої усмішки
Виконали операцію за протоколом All-on-6
Видалили всі зуби та встановили імплантанти Nobel Biocare Parallel CC
Здійснили негайне навантаження та отримали трансформацію посмішки за одну операцію
Написати в Telegram

Операція реконструкція кісткової тканини щелеп
Провели віртуальне планування
Видалили «базальних» імплантатів (частково – для мінімізації травми). Видалили зуби, які не підлягали лікуванню
Наростили кісткову тканину. Встановили нові імплантати.
Фінальний етап – тимчасова та постійна ортопедична реабілітація
Написати в Telegram

Операція транссинусальна імплантація
Було проведено:
видалення зубів, що не підлягали лікуванню
встановлення імплантатів транссинусальним методом
Здійснили негайне навантаження та отримали трансформацію посмішки за одну операцію
Написати в Telegram

Операція пластика ясен
Було проведено поетапне закриття рецесій ясен зубів верхньої та нижньої щелепи
Написати в Telegram

Операція синус-ліфтинг
Написати в Telegram

Операція Allon6
Створили віртуальний план майбутньої посмішки, потім реалізували його за одну операцію:
видалили зуби на верхній щелепі
встановили 6 імплантатів за навігаційним протоколом
зберегли архітектуру ясен і відтворили природну естетику
Фінальний етап – ортопедична реабілітація
Написати в Telegram

Операція реконструкція кісткової тканини щелеп індивідуальним титановим каркасом
Етап 1 Видалення коренів зубів на верхній та нижній щелепах
Етап 2 Реконструкція альвеолярного відростка верхньої щелепи. Двобічний відкритий синус-ліфтинг та вертикальна кісткова аугментація альвеолярного відростка верхньої щелепи Армування аугментату титановою сіткою
Етап 3 Горизонтальна аугментація альвеолярного гребеня нижньої щелепи в ділянках адентії
Етап 4 Видалення титанової сітки Видалення зуба 1.6 Встановлення 9 імплантатів
Етап 5 Встановлення формувачів ясен Пластика присінку порожнини рота
Написати в Telegram

Операція Allon4
Провели операцію на верхній та нижній щелепі в протоколі Allon4 та одразу зафіксували незнімні зубні конструкції
Написати в Telegram

Операція Allon6
Провели віртуальне планування майбутньої усмішки
Виконали операцію за протоколом All-on-6
Видалили всі зуби та встановили імплантанти Nobel Biocare Parallel CC
Здійснили негайне навантаження та отримали трансформацію посмішки за одну операцію
Написати в Telegram

Операція реконструкція кісткової тканини щелеп
Провели віртуальне планування
Видалили «базальних» імплантатів (частково – для мінімізації травми). Видалили зуби, які не підлягали лікуванню
Наростили кісткову тканину. Встановили нові імплантати.
Фінальний етап – тимчасова та постійна ортопедична реабілітація
Написати в Telegram

Операція транссинусальна імплантація
Було проведено:
видалення зубів, що не підлягали лікуванню
встановлення імплантатів транссинусальним методом
Здійснили негайне навантаження та отримали трансформацію посмішки за одну операцію
Написати в Telegram

Операція пластика ясен
Було проведено поетапне закриття рецесій ясен зубів верхньої та нижньої щелепи
Написати в Telegram

Операція синус-ліфтинг
Написати в Telegram

Операція Allon6
Створили віртуальний план майбутньої посмішки, потім реалізували його за одну операцію:
видалили зуби на верхній щелепі
встановили 6 імплантатів за навігаційним протоколом
зберегли архітектуру ясен і відтворили природну естетику
Фінальний етап – ортопедична реабілітація
Написати в Telegram

Операція реконструкція кісткової тканини щелеп індивідуальним титановим каркасом
Етап 1 Видалення коренів зубів на верхній та нижній щелепах
Етап 2 Реконструкція альвеолярного відростка верхньої щелепи. Двобічний відкритий синус-ліфтинг та вертикальна кісткова аугментація альвеолярного відростка верхньої щелепи Армування аугментату титановою сіткою
Етап 3 Горизонтальна аугментація альвеолярного гребеня нижньої щелепи в ділянках адентії
Етап 4 Видалення титанової сітки Видалення зуба 1.6 Встановлення 9 імплантатів
Етап 5 Встановлення формувачів ясен Пластика присінку порожнини рота
Написати в Telegram

Операція Allon4
Провели операцію на верхній та нижній щелепі в протоколі Allon4 та одразу зафіксували незнімні зубні конструкції
Написати в Telegram

Операція Allon6
Провели віртуальне планування майбутньої усмішки
Виконали операцію за протоколом All-on-6
Видалили всі зуби та встановили імплантанти Nobel Biocare Parallel CC
Здійснили негайне навантаження та отримали трансформацію посмішки за одну операцію
Написати в Telegram

Операція реконструкція кісткової тканини щелеп
Провели віртуальне планування
Видалили «базальних» імплантатів (частково – для мінімізації травми). Видалили зуби, які не підлягали лікуванню
Наростили кісткову тканину. Встановили нові імплантати.
Фінальний етап – тимчасова та постійна ортопедична реабілітація
Написати в Telegram

Операція транссинусальна імплантація
Було проведено:
видалення зубів, що не підлягали лікуванню
встановлення імплантатів транссинусальним методом
Здійснили негайне навантаження та отримали трансформацію посмішки за одну операцію
Написати в Telegram

Операція пластика ясен
Було проведено поетапне закриття рецесій ясен зубів верхньої та нижньої щелепи
Написати в Telegram

Операція синус-ліфтинг
Написати в Telegram

Операція Allon6
Створили віртуальний план майбутньої посмішки, потім реалізували його за одну операцію:
видалили зуби на верхній щелепі
встановили 6 імплантатів за навігаційним протоколом
зберегли архітектуру ясен і відтворили природну естетику
Фінальний етап – ортопедична реабілітація
Написати в Telegram

Операція реконструкція кісткової тканини щелеп індивідуальним титановим каркасом
Етап 1 Видалення коренів зубів на верхній та нижній щелепах
Етап 2 Реконструкція альвеолярного відростка верхньої щелепи. Двобічний відкритий синус-ліфтинг та вертикальна кісткова аугментація альвеолярного відростка верхньої щелепи Армування аугментату титановою сіткою
Етап 3 Горизонтальна аугментація альвеолярного гребеня нижньої щелепи в ділянках адентії
Етап 4 Видалення титанової сітки Видалення зуба 1.6 Встановлення 9 імплантатів
Етап 5 Встановлення формувачів ясен Пластика присінку порожнини рота
Написати в Telegram

Операція Allon4
Провели операцію на верхній та нижній щелепі в протоколі Allon4 та одразу зафіксували незнімні зубні конструкції
Написати в Telegram

Операція Allon6
Провели віртуальне планування майбутньої усмішки
Виконали операцію за протоколом All-on-6
Видалили всі зуби та встановили імплантанти Nobel Biocare Parallel CC
Здійснили негайне навантаження та отримали трансформацію посмішки за одну операцію
Написати в Telegram

Операція реконструкція кісткової тканини щелеп
Провели віртуальне планування
Видалили «базальних» імплантатів (частково – для мінімізації травми). Видалили зуби, які не підлягали лікуванню
Наростили кісткову тканину. Встановили нові імплантати.
Фінальний етап – тимчасова та постійна ортопедична реабілітація
Написати в Telegram

Операція транссинусальна імплантація
Було проведено:
видалення зубів, що не підлягали лікуванню
встановлення імплантатів транссинусальним методом
Здійснили негайне навантаження та отримали трансформацію посмішки за одну операцію
Написати в Telegram

Операція пластика ясен
Було проведено поетапне закриття рецесій ясен зубів верхньої та нижньої щелепи
Написати в Telegram

Операція синус-ліфтинг
Написати в Telegram

Операція Allon6
Створили віртуальний план майбутньої посмішки, потім реалізували його за одну операцію:
видалили зуби на верхній щелепі
встановили 6 імплантатів за навігаційним протоколом
зберегли архітектуру ясен і відтворили природну естетику
Фінальний етап – ортопедична реабілітація
Написати в Telegram

Операція реконструкція кісткової тканини щелеп індивідуальним титановим каркасом
Етап 1 Видалення коренів зубів на верхній та нижній щелепах
Етап 2 Реконструкція альвеолярного відростка верхньої щелепи. Двобічний відкритий синус-ліфтинг та вертикальна кісткова аугментація альвеолярного відростка верхньої щелепи Армування аугментату титановою сіткою
Етап 3 Горизонтальна аугментація альвеолярного гребеня нижньої щелепи в ділянках адентії
Етап 4 Видалення титанової сітки Видалення зуба 1.6 Встановлення 9 імплантатів
Етап 5 Встановлення формувачів ясен Пластика присінку порожнини рота
Написати в Telegram

Операція Allon4
Провели операцію на верхній та нижній щелепі в протоколі Allon4 та одразу зафіксували незнімні зубні конструкції
Написати в Telegram

Операція Allon6
Провели віртуальне планування майбутньої усмішки
Виконали операцію за протоколом All-on-6
Видалили всі зуби та встановили імплантанти Nobel Biocare Parallel CC
Здійснили негайне навантаження та отримали трансформацію посмішки за одну операцію
Написати в Telegram

Операція реконструкція кісткової тканини щелеп
Провели віртуальне планування
Видалили «базальних» імплантатів (частково – для мінімізації травми). Видалили зуби, які не підлягали лікуванню
Наростили кісткову тканину. Встановили нові імплантати.
Фінальний етап – тимчасова та постійна ортопедична реабілітація
Написати в Telegram

Операція транссинусальна імплантація
Було проведено:
видалення зубів, що не підлягали лікуванню
встановлення імплантатів транссинусальним методом
Здійснили негайне навантаження та отримали трансформацію посмішки за одну операцію
Написати в Telegram

Операція пластика ясен
Було проведено поетапне закриття рецесій ясен зубів верхньої та нижньої щелепи
Написати в Telegram

Операція синус-ліфтинг
Написати в Telegram

Операція Allon6
Створили віртуальний план майбутньої посмішки, потім реалізували його за одну операцію:
видалили зуби на верхній щелепі
встановили 6 імплантатів за навігаційним протоколом
зберегли архітектуру ясен і відтворили природну естетику
Фінальний етап – ортопедична реабілітація
Написати в Telegram

Операція реконструкція кісткової тканини щелеп індивідуальним титановим каркасом
Етап 1 Видалення коренів зубів на верхній та нижній щелепах
Етап 2 Реконструкція альвеолярного відростка верхньої щелепи. Двобічний відкритий синус-ліфтинг та вертикальна кісткова аугментація альвеолярного відростка верхньої щелепи Армування аугментату титановою сіткою
Етап 3 Горизонтальна аугментація альвеолярного гребеня нижньої щелепи в ділянках адентії
Етап 4 Видалення титанової сітки Видалення зуба 1.6 Встановлення 9 імплантатів
Етап 5 Встановлення формувачів ясен Пластика присінку порожнини рота
Написати в Telegram

Операція Allon4
Провели операцію на верхній та нижній щелепі в протоколі Allon4 та одразу зафіксували незнімні зубні конструкції
Написати в Telegram

Операція Allon6
Провели віртуальне планування майбутньої усмішки
Виконали операцію за протоколом All-on-6
Видалили всі зуби та встановили імплантанти Nobel Biocare Parallel CC
Здійснили негайне навантаження та отримали трансформацію посмішки за одну операцію
Написати в Telegram

Операція реконструкція кісткової тканини щелеп
Провели віртуальне планування
Видалили «базальних» імплантатів (частково – для мінімізації травми). Видалили зуби, які не підлягали лікуванню
Наростили кісткову тканину. Встановили нові імплантати.
Фінальний етап – тимчасова та постійна ортопедична реабілітація
Написати в Telegram

Операція транссинусальна імплантація
Було проведено:
видалення зубів, що не підлягали лікуванню
встановлення імплантатів транссинусальним методом
Здійснили негайне навантаження та отримали трансформацію посмішки за одну операцію
Написати в Telegram

Операція пластика ясен
Було проведено поетапне закриття рецесій ясен зубів верхньої та нижньої щелепи
Написати в Telegram

Операція синус-ліфтинг
Написати в Telegram

Операція Allon6
Створили віртуальний план майбутньої посмішки, потім реалізували його за одну операцію:
видалили зуби на верхній щелепі
встановили 6 імплантатів за навігаційним протоколом
зберегли архітектуру ясен і відтворили природну естетику
Фінальний етап – ортопедична реабілітація
Написати в Telegram

Операція реконструкція кісткової тканини щелеп індивідуальним титановим каркасом
Етап 1 Видалення коренів зубів на верхній та нижній щелепах
Етап 2 Реконструкція альвеолярного відростка верхньої щелепи. Двобічний відкритий синус-ліфтинг та вертикальна кісткова аугментація альвеолярного відростка верхньої щелепи Армування аугментату титановою сіткою
Етап 3 Горизонтальна аугментація альвеолярного гребеня нижньої щелепи в ділянках адентії
Етап 4 Видалення титанової сітки Видалення зуба 1.6 Встановлення 9 імплантатів
Етап 5 Встановлення формувачів ясен Пластика присінку порожнини рота
Написати в Telegram

Операція Allon4
Провели операцію на верхній та нижній щелепі в протоколі Allon4 та одразу зафіксували незнімні зубні конструкції
Написати в Telegram

Операція Allon6
Провели віртуальне планування майбутньої усмішки
Виконали операцію за протоколом All-on-6
Видалили всі зуби та встановили імплантанти Nobel Biocare Parallel CC
Здійснили негайне навантаження та отримали трансформацію посмішки за одну операцію
Написати в Telegram

Операція реконструкція кісткової тканини щелеп
Провели віртуальне планування
Видалили «базальних» імплантатів (частково – для мінімізації травми). Видалили зуби, які не підлягали лікуванню
Наростили кісткову тканину. Встановили нові імплантати.
Фінальний етап – тимчасова та постійна ортопедична реабілітація
Написати в Telegram

Операція транссинусальна імплантація
Було проведено:
видалення зубів, що не підлягали лікуванню
встановлення імплантатів транссинусальним методом
Здійснили негайне навантаження та отримали трансформацію посмішки за одну операцію
Написати в Telegram

Операція пластика ясен
Було проведено поетапне закриття рецесій ясен зубів верхньої та нижньої щелепи
Написати в Telegram

Операція синус-ліфтинг
Написати в Telegram

Операція Allon6
Створили віртуальний план майбутньої посмішки, потім реалізували його за одну операцію:
видалили зуби на верхній щелепі
встановили 6 імплантатів за навігаційним протоколом
зберегли архітектуру ясен і відтворили природну естетику
Фінальний етап – ортопедична реабілітація
Написати в Telegram

Операція реконструкція кісткової тканини щелеп індивідуальним титановим каркасом
Етап 1 Видалення коренів зубів на верхній та нижній щелепах
Етап 2 Реконструкція альвеолярного відростка верхньої щелепи. Двобічний відкритий синус-ліфтинг та вертикальна кісткова аугментація альвеолярного відростка верхньої щелепи Армування аугментату титановою сіткою
Етап 3 Горизонтальна аугментація альвеолярного гребеня нижньої щелепи в ділянках адентії
Етап 4 Видалення титанової сітки Видалення зуба 1.6 Встановлення 9 імплантатів
Етап 5 Встановлення формувачів ясен Пластика присінку порожнини рота
Написати в Telegram

Операція Allon4
Провели операцію на верхній та нижній щелепі в протоколі Allon4 та одразу зафіксували незнімні зубні конструкції
Написати в Telegram

Операція Allon6
Провели віртуальне планування майбутньої усмішки
Виконали операцію за протоколом All-on-6
Видалили всі зуби та встановили імплантанти Nobel Biocare Parallel CC
Здійснили негайне навантаження та отримали трансформацію посмішки за одну операцію
Написати в Telegram

Операція реконструкція кісткової тканини щелеп
Провели віртуальне планування
Видалили «базальних» імплантатів (частково – для мінімізації травми). Видалили зуби, які не підлягали лікуванню
Наростили кісткову тканину. Встановили нові імплантати.
Фінальний етап – тимчасова та постійна ортопедична реабілітація
Написати в Telegram

Операція транссинусальна імплантація
Було проведено:
видалення зубів, що не підлягали лікуванню
встановлення імплантатів транссинусальним методом
Здійснили негайне навантаження та отримали трансформацію посмішки за одну операцію
Написати в Telegram

Операція пластика ясен
Було проведено поетапне закриття рецесій ясен зубів верхньої та нижньої щелепи
Написати в Telegram

Операція синус-ліфтинг
Написати в Telegram

Операції
100+ тотальних реабілітацій на імплантатах
100+ тотальних реабілітацій на імплантатах
100+ тотальних реабілітацій на імплантатах
Види операцій
Імплантація зубів
Це метод лікування, який передбачає відновлення втрачених зубів шляхом вживлення в кістку штучних опор, імплантатів, на яких фіксуються зуби або зубні конструкції
Allon4/Allon6
Це концепція відновлення зубів при повній їх втраті, коли встановлюються 4 або 6 імплантатів на щелепу з виготовленням на них незнімної зубної конструкції в день операції
Транссинусальна імплантація
Вид операції, що передбачає встановлення імплантатів через просвіт верхньощелепових пазух, не пошкоджюючи їх вмісту при дефіциті кісткової тканини
Синус-ліфтинг
Операція зі збільшення обʼєму кісткової тканини в бокових відділах верхньої щелепи
Реконструкція кісткової тканини щелеп
Для відновлення естетики посмішки та створення умов для імплантації проводяться операції з реконструкції втраченої кісткової тканини щелеп
Пластика ясен
Метод лікування зі збільшення обʼєму ясен навколо зубів та імплантатів
Одномоментна імплантація
При неможливості зберегти зуб найкращим рішенням для досягнення максимально естетичного та природоподібного результату є одномоментне встановлення імплантату на місце видаленого зуба
Імплантація зубів
Це метод лікування, який передбачає відновлення втрачених зубів шляхом вживлення в кістку штучних опор, імплантатів, на яких фіксуються зуби або зубні конструкції
Allon4/Allon6
Це концепція відновлення зубів при повній їх втраті, коли встановлюються 4 або 6 імплантатів на щелепу з виготовленням на них незнімної зубної конструкції в день операції
Транссинусальна імплантація
Вид операції, що передбачає встановлення імплантатів через просвіт верхньощелепових пазух, не пошкоджюючи їх вмісту при дефіциті кісткової тканини
Синус-ліфтинг
Операція зі збільшення обʼєму кісткової тканини в бокових відділах верхньої щелепи
Реконструкція кісткової тканини щелеп
Для відновлення естетики посмішки та створення умов для імплантації проводяться операції з реконструкції втраченої кісткової тканини щелеп
Пластика ясен
Метод лікування зі збільшення обʼєму ясен навколо зубів та імплантатів
Одномоментна імплантація
При неможливості зберегти зуб найкращим рішенням для досягнення максимально естетичного та природоподібного результату є одномоментне встановлення імплантату на місце видаленого зуба
Імплантація зубів
Це метод лікування, який передбачає відновлення втрачених зубів шляхом вживлення в кістку штучних опор, імплантатів, на яких фіксуються зуби або зубні конструкції
Allon4/Allon6
Це концепція відновлення зубів при повній їх втраті, коли встановлюються 4 або 6 імплантатів на щелепу з виготовленням на них незнімної зубної конструкції в день операції
Транссинусальна імплантація
Вид операції, що передбачає встановлення імплантатів через просвіт верхньощелепових пазух, не пошкоджюючи їх вмісту при дефіциті кісткової тканини
Синус-ліфтинг
Операція зі збільшення обʼєму кісткової тканини в бокових відділах верхньої щелепи
Реконструкція кісткової тканини щелеп
Для відновлення естетики посмішки та створення умов для імплантації проводяться операції з реконструкції втраченої кісткової тканини щелеп
Пластика ясен
Метод лікування зі збільшення обʼєму ясен навколо зубів та імплантатів
Одномоментна імплантація
При неможливості зберегти зуб найкращим рішенням для досягнення максимально естетичного та природоподібного результату є одномоментне встановлення імплантату на місце видаленого зуба
Імплантація зубів
Це метод лікування, який передбачає відновлення втрачених зубів шляхом вживлення в кістку штучних опор, імплантатів, на яких фіксуються зуби або зубні конструкції
Allon4/Allon6
Це концепція відновлення зубів при повній їх втраті, коли встановлюються 4 або 6 імплантатів на щелепу з виготовленням на них незнімної зубної конструкції в день операції
Транссинусальна імплантація
Вид операції, що передбачає встановлення імплантатів через просвіт верхньощелепових пазух, не пошкоджюючи їх вмісту при дефіциті кісткової тканини
Синус-ліфтинг
Операція зі збільшення обʼєму кісткової тканини в бокових відділах верхньої щелепи
Реконструкція кісткової тканини щелеп
Для відновлення естетики посмішки та створення умов для імплантації проводяться операції з реконструкції втраченої кісткової тканини щелеп
Пластика ясен
Метод лікування зі збільшення обʼєму ясен навколо зубів та імплантатів
Одномоментна імплантація
При неможливості зберегти зуб найкращим рішенням для досягнення максимально естетичного та природоподібного результату є одномоментне встановлення імплантату на місце видаленого зуба
Імплантація зубів
Це метод лікування, який передбачає відновлення втрачених зубів шляхом вживлення в кістку штучних опор, імплантатів, на яких фіксуються зуби або зубні конструкції
Allon4/Allon6
Це концепція відновлення зубів при повній їх втраті, коли встановлюються 4 або 6 імплантатів на щелепу з виготовленням на них незнімної зубної конструкції в день операції
Транссинусальна імплантація
Вид операції, що передбачає встановлення імплантатів через просвіт верхньощелепових пазух, не пошкоджюючи їх вмісту при дефіциті кісткової тканини
Синус-ліфтинг
Операція зі збільшення обʼєму кісткової тканини в бокових відділах верхньої щелепи
Реконструкція кісткової тканини щелеп
Для відновлення естетики посмішки та створення умов для імплантації проводяться операції з реконструкції втраченої кісткової тканини щелеп
Пластика ясен
Метод лікування зі збільшення обʼєму ясен навколо зубів та імплантатів
Одномоментна імплантація
При неможливості зберегти зуб найкращим рішенням для досягнення максимально естетичного та природоподібного результату є одномоментне встановлення імплантату на місце видаленого зуба
Пацієнтам
Кроки пацієнта
Кроки пацієнта
Кроки пацієнта
01
Запис на консультацію через сайт або за телефоном
01
Запис на консультацію через сайт або за телефоном
01
Запис на консультацію через сайт або за телефоном
01
Запис на консультацію через сайт або за телефоном
01
Запис на консультацію через сайт або за телефоном
02
Консультація, фото- та рентген діагностика
02
Консультація, фото- та рентген діагностика
02
Консультація, фото- та рентген діагностика
02
Консультація, фото- та рентген діагностика
02
Консультація, фото- та рентген діагностика
03
Складання плану для вашого лікування
03
Складання плану для вашого лікування
03
Складання плану для вашого лікування
03
Складання плану для вашого лікування
03
Складання плану для вашого лікування
04
Обстеження та здача необхідних аналізів
04
Обстеження та здача необхідних аналізів
04
Обстеження та здача необхідних аналізів
04
Обстеження та здача необхідних аналізів
04
Обстеження та здача необхідних аналізів
05
Безпосередня операція під загальним знеболенням
05
Безпосередня операція під загальним знеболенням
05
Безпосередня операція під загальним знеболенням
05
Безпосередня операція під загальним знеболенням
05
Безпосередня операція під загальним знеболенням
06
Нова посмішка в день операції (тимчасові зуби)
06
Нова посмішка в день операції (тимчасові зуби)
06
Нова посмішка в день операції (тимчасові зуби)
06
Нова посмішка в день операції (тимчасові зуби)
06
Нова посмішка в день операції (тимчасові зуби)
07
Постійні зуби (через 4-6 місяців після операції)
07
Постійні зуби (через 4-6 місяців після операції)
07
Постійні зуби (через 4-6 місяців після операції)
07
Постійні зуби (через 4-6 місяців після операції)
07
Постійні зуби (через 4-6 місяців після операції)
Освіта
1996-2006
Загальноосвітня школа міста Чернівці
атестат з відзнакою
1996-2006
Загальноосвітня школа міста Чернівці
атестат з відзнакою
1996-2006
Загальноосвітня школа міста Чернівці
атестат з відзнакою
1996-2006
Загальноосвітня школа міста Чернівці
атестат з відзнакою
1996-2006
Загальноосвітня школа міста Чернівці
атестат з відзнакою
2006-2011
НМУ ім. О.О. Богомольця
стоматологічний факультет, диплом з відзнакою
2006-2011
НМУ ім. О.О. Богомольця
стоматологічний факультет, диплом з відзнакою
2006-2011
НМУ ім. О.О. Богомольця
стоматологічний факультет, диплом з відзнакою
2006-2011
НМУ ім. О.О. Богомольця
стоматологічний факультет, диплом з відзнакою
2006-2011
НМУ ім. О.О. Богомольця
стоматологічний факультет, диплом з відзнакою
2011-2013
НМАПО ім. П. Л. Шупика
інтернатура за спеціальністю "стоматологія"
2011-2013
НМАПО ім. П. Л. Шупика
інтернатура за спеціальністю "стоматологія"
2011-2013
НМАПО ім. П. Л. Шупика
інтернатура за спеціальністю "стоматологія"
2011-2013
НМАПО ім. П. Л. Шупика
інтернатура за спеціальністю "стоматологія"
2011-2013
НМАПО ім. П. Л. Шупика
інтернатура за спеціальністю "стоматологія"
2014
Українська військово-медична академія
спеціалізація за фахом "хірургічна стоматологія"
2014
Українська військово-медична академія
спеціалізація за фахом "хірургічна стоматологія"
2014
Українська військово-медична академія
спеціалізація за фахом "хірургічна стоматологія"
2014
Українська військово-медична академія
спеціалізація за фахом "хірургічна стоматологія"
2014
Українська військово-медична академія
спеціалізація за фахом "хірургічна стоматологія"
2024
Українська військово-медична академія
спеціалізація за фахом «ортопедична стоматологія»
2024
Українська військово-медична академія
спеціалізація за фахом «ортопедична стоматологія»
2024
Українська військово-медична академія
спеціалізація за фахом «ортопедична стоматологія»
2024
Українська військово-медична академія
спеціалізація за фахом «ортопедична стоматологія»
2024
Українська військово-медична академія
спеціалізація за фахом «ортопедична стоматологія»
Конференції та практичні курси
Київ 2012
Перший Український міжнародний симпозіум квінтесенції – «Пародонтологія та Відновна Стоматологія»
Київ 2012
Перший Український міжнародний симпозіум квінтесенції – «Пародонтологія та Відновна Стоматологія»
Київ 2012
Перший Український міжнародний симпозіум квінтесенції – «Пародонтологія та Відновна Стоматологія»
Київ 2012
Перший Український міжнародний симпозіум квінтесенції – «Пародонтологія та Відновна Стоматологія»
Київ 2012
Перший Український міжнародний симпозіум квінтесенції – «Пародонтологія та Відновна Стоматологія»
Львів 2013
Східноєвропейська конференція з проблем стоматологічної імплантації "Функція і естетика. Біологічні та технічні аспекти"
Львів 2013
Східноєвропейська конференція з проблем стоматологічної імплантації "Функція і естетика. Біологічні та технічні аспекти"
Львів 2013
Східноєвропейська конференція з проблем стоматологічної імплантації "Функція і естетика. Біологічні та технічні аспекти"
Львів 2013
Східноєвропейська конференція з проблем стоматологічної імплантації "Функція і естетика. Біологічні та технічні аспекти"
Львів 2013
Східноєвропейська конференція з проблем стоматологічної імплантації "Функція і естетика. Біологічні та технічні аспекти"
Київ 2013
Nobel Biocare World, міжнародна освітня конференція по імплантології та відновній стоматології «Інтегрований підхід для досягнення ідеального естетичного результату на імплантатах»
Київ 2013
Nobel Biocare World, міжнародна освітня конференція по імплантології та відновній стоматології «Інтегрований підхід для досягнення ідеального естетичного результату на імплантатах»
Київ 2013
Nobel Biocare World, міжнародна освітня конференція по імплантології та відновній стоматології «Інтегрований підхід для досягнення ідеального естетичного результату на імплантатах»
Київ 2013
Nobel Biocare World, міжнародна освітня конференція по імплантології та відновній стоматології «Інтегрований підхід для досягнення ідеального естетичного результату на імплантатах»
Київ 2013
Nobel Biocare World, міжнародна освітня конференція по імплантології та відновній стоматології «Інтегрований підхід для досягнення ідеального естетичного результату на імплантатах»
Львів 2014
Теоретично-практичний курс «Хірургічні техніки синус-ліфту», Мирон Угрин, Центр стоматологічної імплантації та протезування «ММ»
Львів 2014
Теоретично-практичний курс «Хірургічні техніки синус-ліфту», Мирон Угрин, Центр стоматологічної імплантації та протезування «ММ»
Львів 2014
Теоретично-практичний курс «Хірургічні техніки синус-ліфту», Мирон Угрин, Центр стоматологічної імплантації та протезування «ММ»
Львів 2014
Теоретично-практичний курс «Хірургічні техніки синус-ліфту», Мирон Угрин, Центр стоматологічної імплантації та протезування «ММ»
Львів 2014
Теоретично-практичний курс «Хірургічні техніки синус-ліфту», Мирон Угрин, Центр стоматологічної імплантації та протезування «ММ»
Київ 2015
Nobel Biocare World 2G, міжнародний конгрес «Сучасні концепції, як фактор успішного імплантологічного лікування»
Київ 2015
Nobel Biocare World 2G, міжнародний конгрес «Сучасні концепції, як фактор успішного імплантологічного лікування»
Київ 2015
Nobel Biocare World 2G, міжнародний конгрес «Сучасні концепції, як фактор успішного імплантологічного лікування»
Київ 2015
Nobel Biocare World 2G, міжнародний конгрес «Сучасні концепції, як фактор успішного імплантологічного лікування»
Київ 2015
Nobel Biocare World 2G, міжнародний конгрес «Сучасні концепції, як фактор успішного імплантологічного лікування»
Львів 2015
Східноєвропейська конференція з проблем стоматологічної імплантації "Принципи доказової медицини в імплантології"
Львів 2015
Східноєвропейська конференція з проблем стоматологічної імплантації "Принципи доказової медицини в імплантології"
Львів 2015
Східноєвропейська конференція з проблем стоматологічної імплантації "Принципи доказової медицини в імплантології"
Львів 2015
Східноєвропейська конференція з проблем стоматологічної імплантації "Принципи доказової медицини в імплантології"
Львів 2015
Східноєвропейська конференція з проблем стоматологічної імплантації "Принципи доказової медицини в імплантології"
Київ 2015
Теоретично-практичний курс «Планування дентальної імплантації та ортопедичної реабілітації за даними комп’ютерної томографії. Інтраопераційне використання хірургічних шаблонів», Лариса Дахно, Cental laboratory diagnosis of the head
Київ 2015
Теоретично-практичний курс «Планування дентальної імплантації та ортопедичної реабілітації за даними комп’ютерної томографії. Інтраопераційне використання хірургічних шаблонів», Лариса Дахно, Cental laboratory diagnosis of the head
Київ 2015
Теоретично-практичний курс «Планування дентальної імплантації та ортопедичної реабілітації за даними комп’ютерної томографії. Інтраопераційне використання хірургічних шаблонів», Лариса Дахно, Cental laboratory diagnosis of the head
Київ 2015
Теоретично-практичний курс «Планування дентальної імплантації та ортопедичної реабілітації за даними комп’ютерної томографії. Інтраопераційне використання хірургічних шаблонів», Лариса Дахно, Cental laboratory diagnosis of the head
Київ 2015
Теоретично-практичний курс «Планування дентальної імплантації та ортопедичної реабілітації за даними комп’ютерної томографії. Інтраопераційне використання хірургічних шаблонів», Лариса Дахно, Cental laboratory diagnosis of the head
Львів 2017
Східноєвропейська конференція з проблем стоматологічної імплантації "Біологічні аспекти в імплантології"
Львів 2017
Східноєвропейська конференція з проблем стоматологічної імплантації "Біологічні аспекти в імплантології"
Львів 2017
Східноєвропейська конференція з проблем стоматологічної імплантації "Біологічні аспекти в імплантології"
Львів 2017
Східноєвропейська конференція з проблем стоматологічної імплантації "Біологічні аспекти в імплантології"
Львів 2017
Східноєвропейська конференція з проблем стоматологічної імплантації "Біологічні аспекти в імплантології"
Львів 2017
Теоретично-практичний курс "Передбачувана імплантація в атрофованому альвеолярному гребені", Віктор Каленчук
Львів 2017
Теоретично-практичний курс "Передбачувана імплантація в атрофованому альвеолярному гребені", Віктор Каленчук
Львів 2017
Теоретично-практичний курс "Передбачувана імплантація в атрофованому альвеолярному гребені", Віктор Каленчук
Львів 2017
Теоретично-практичний курс "Передбачувана імплантація в атрофованому альвеолярному гребені", Віктор Каленчук
Львів 2017
Теоретично-практичний курс "Передбачувана імплантація в атрофованому альвеолярному гребені", Віктор Каленчук
Київ 2017
Теоретично-практичний курс "Сучасні тенденції в естетичній парадонтології, Андре Саадун
Київ 2017
Теоретично-практичний курс "Сучасні тенденції в естетичній парадонтології, Андре Саадун
Київ 2017
Теоретично-практичний курс "Сучасні тенденції в естетичній парадонтології, Андре Саадун
Київ 2017
Теоретично-практичний курс "Сучасні тенденції в естетичній парадонтології, Андре Саадун
Київ 2017
Теоретично-практичний курс "Сучасні тенденції в естетичній парадонтології, Андре Саадун
Віторія 2017
Міжнародна конференція «BTI Day, 17», Biotechnology Institute, Іспанія
Віторія 2017
Міжнародна конференція «BTI Day, 17», Biotechnology Institute, Іспанія
Віторія 2017
Міжнародна конференція «BTI Day, 17», Biotechnology Institute, Іспанія
Віторія 2017
Міжнародна конференція «BTI Day, 17», Biotechnology Institute, Іспанія
Віторія 2017
Міжнародна конференція «BTI Day, 17», Biotechnology Institute, Іспанія
Віторія 2017
Теоретично-практичний курс "Біологічний підхід в імплантології", Едуардо Анітуа, Іспанія
Віторія 2017
Теоретично-практичний курс "Біологічний підхід в імплантології", Едуардо Анітуа, Іспанія
Віторія 2017
Теоретично-практичний курс "Біологічний підхід в імплантології", Едуардо Анітуа, Іспанія
Віторія 2017
Теоретично-практичний курс "Біологічний підхід в імплантології", Едуардо Анітуа, Іспанія
Віторія 2017
Теоретично-практичний курс "Біологічний підхід в імплантології", Едуардо Анітуа, Іспанія
Київ 2017
Експертний форум Nobel Biocare "Методи реабілітації в концепції All-on-4”, Енріко Альярді, Джакомо Фаббрі
Київ 2017
Експертний форум Nobel Biocare "Методи реабілітації в концепції All-on-4”, Енріко Альярді, Джакомо Фаббрі
Київ 2017
Експертний форум Nobel Biocare "Методи реабілітації в концепції All-on-4”, Енріко Альярді, Джакомо Фаббрі
Київ 2017
Експертний форум Nobel Biocare "Методи реабілітації в концепції All-on-4”, Енріко Альярді, Джакомо Фаббрі
Київ 2017
Експертний форум Nobel Biocare "Методи реабілітації в концепції All-on-4”, Енріко Альярді, Джакомо Фаббрі
Вільнюс 2018
Стажування в Vilnius Implantology Center з питань роботи з дентальної імплантаційною системою Straumann Альгірдас Пуйшис, Литва
Вільнюс 2018
Стажування в Vilnius Implantology Center з питань роботи з дентальної імплантаційною системою Straumann Альгірдас Пуйшис, Литва
Вільнюс 2018
Стажування в Vilnius Implantology Center з питань роботи з дентальної імплантаційною системою Straumann Альгірдас Пуйшис, Литва
Вільнюс 2018
Стажування в Vilnius Implantology Center з питань роботи з дентальної імплантаційною системою Straumann Альгірдас Пуйшис, Литва
Вільнюс 2018
Стажування в Vilnius Implantology Center з питань роботи з дентальної імплантаційною системою Straumann Альгірдас Пуйшис, Литва
США 2018
Стажування в Dental School of Harvard University з питань аугментації альвеолярної кістки та зубної імплантації, Бостон,
США 2018
Стажування в Dental School of Harvard University з питань аугментації альвеолярної кістки та зубної імплантації, Бостон,
США 2018
Стажування в Dental School of Harvard University з питань аугментації альвеолярної кістки та зубної імплантації, Бостон,
США 2018
Стажування в Dental School of Harvard University з питань аугментації альвеолярної кістки та зубної імплантації, Бостон,
США 2018
Стажування в Dental School of Harvard University з питань аугментації альвеолярної кістки та зубної імплантації, Бостон,
Київ 2019
Перший симпозіум International team of Implantology in Ukraine
Київ 2019
Перший симпозіум International team of Implantology in Ukraine
Київ 2019
Перший симпозіум International team of Implantology in Ukraine
Київ 2019
Перший симпозіум International team of Implantology in Ukraine
Київ 2019
Перший симпозіум International team of Implantology in Ukraine
Іспанія 2021
Теоретично-практичний курс “Mucogingival surgery”, Ramon Gomez Meda, Понферада
Іспанія 2021
Теоретично-практичний курс “Mucogingival surgery”, Ramon Gomez Meda, Понферада
Іспанія 2021
Теоретично-практичний курс “Mucogingival surgery”, Ramon Gomez Meda, Понферада
Іспанія 2021
Теоретично-практичний курс “Mucogingival surgery”, Ramon Gomez Meda, Понферада
Іспанія 2021
Теоретично-практичний курс “Mucogingival surgery”, Ramon Gomez Meda, Понферада
Київ 2022
Конгрес імплантологів Implants, Хірургічна секція
Київ 2022
Конгрес імплантологів Implants, Хірургічна секція
Київ 2022
Конгрес імплантологів Implants, Хірургічна секція
Київ 2022
Конгрес імплантологів Implants, Хірургічна секція
Київ 2022
Конгрес імплантологів Implants, Хірургічна секція
Навчання для лікарів
Теоретично-практичний курс з дентальної імплантації в концепції All-on-4.
Теоретично-практичний курс з дентальної імплантації в концепції All-on-4.
Теоретично-практичний
курс з дентальної імплантації
в концепції All-on-4.
Теоретично-практичний курс з дентальної імплантації в концепції
All-on-4.
Перший день
Перший день
Провели живу операцію в концепції All-on-4 під загальним знеболенням із відео-трансляцією.
Під час операції:
• встановили імплантати Nobel Biocare Parallel CC
в протоколі All-on-4
• одразу зафіксували на них незнімну зубну конструкцію
• виконали сканування та фотограмметрію
У результаті пацієнтка отримала трансформацію посмішки за одну операцію
Провели живу операцію в концепції All-on-4 під загальним знеболенням із відео-трансляцією.
Під час операції:
• встановили імплантати Nobel Biocare Parallel CC
в протоколі All-on-4
• одразу зафіксували на них незнімну зубну конструкцію
• виконали сканування та фотограмметрію
У результаті пацієнтка отримала трансформацію посмішки за одну операцію
Другий день
Другий день
Розібрали теоретичні основи методу лікування, обговорили особливості навігаційного та free-hand підходу. Кожен учасник курсу самостійно провів операцію All-on-4 на демонстраційній моделі.
Розібрали теоретичні основи методу лікування, обговорили особливості навігаційного та free-hand підходу. Кожен учасник курсу самостійно провів операцію All-on-4 на демонстраційній моделі.
Зв'язок
Контакти
Щастя починається з посмішки




#1
Переможець Номінації «Найкращий випадок імплантологічної реабілітації
в Україні»
14
Років досвіду в хірургічній стоматології
10 000+
Годин операцій
10
Років досвіду в одномоментний імплантації з негайним навантаженням
Private policy
© all rights reserved 2025. Щастя починається з посмішки
© all rights reserved 2025. Щастя починається з посмішки
Сайт

